〒510-8123
三重県三重郡川越町豊田一色272-1

BLOG ブログ

肉離れとは

肉離れ(筋断裂)とは

肉離れは、スポーツ動作などで急激に筋肉が引き伸ばされた際に、筋線維の一部または全部が損傷・断裂する疾患です。筋力の不均衡や柔軟性の低下、疲労の蓄積などが引き金となります。

良く起こる部位

  • ハムストリングス
  • 下腿三頭筋(腓腹筋・ヒラメ筋)
  • 大腿四頭筋
  • 内転筋群

比較的まれな部位

  • 脊柱起立筋
  • 大胸筋
  • 腹直筋
  • 腸腰筋
  • 上腕二頭筋

原因

肉離れは、筋肉が収縮しようとする力に対し、逆方向へ引き伸ばされる力が強く加わることで発症します。

以下のような要因で起こることがあります。

  • 急激なダッシュ、ジャンプ、方向転換などの動作
  • 筋肉の柔軟性低下(ストレッチ不足)
  • 拮抗する筋肉との筋力バランスの乱れ
  • 冷えや疲労による血流低下
  • 過去の負傷部位の不完全な修復(再発リスク)

症状

肉離れでみられる主な症状は以下の通りです。

  • 動作時の鋭い痛み
  • 患部の腫れ、皮下出血(数日後に青あざとして現れることがあります)
  • 患部を押すと痛む(圧痛)や、筋肉の凹み(陥凹)
  • ストレッチ(筋肉を伸ばす動作)を加えた際の強い痛み
  • 重症化すると、自力での歩行や関節の運動が困難になる

検査・診断

当院では、以下の検査を組み合わせて肉離れの診断を行います。

  • 診察:圧痛部位、腫脹、皮下出血、関節可動域や筋力の確認
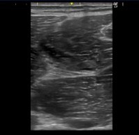
  • 超音波検査:筋線維の連続性の乱れ、血腫(血溜まり)の有無、損傷範囲の特定

*筋内の黒い部分が損傷部位である。
  • MRI検査:より深部の損傷や、完全断裂の疑いがある場合の詳細な評価、重症度評価を行います。

*右:筋膜(黒)の連続性がない     左:ハムストリング筋内に沿って広範に損傷、出血している

治療

肉離れの治療は、受傷直後の適切な応急処置がその後の回復期間を左右します。当院では以下の段階的な治療を行います。

保存療法(手術をしない治療)

  • 応急処置(RICE処置):受傷直後は以下の4つを徹底します。
  • Rest(安静):患部を動かさない
  • Icing(冷却):炎症を抑え痛みを和らげる
  • Compression(圧迫):包帯等で圧迫し内出血や腫れを防ぐ
  • Elevation(挙上):患部を心臓より高く保つ

  • 運動療法:段階的なストレッチ、競技特性に応じたリハビリテーション

  • 薬物療法:消炎鎮痛薬(内服・外用)の使用
  • 物理療法:マイクロカレント(微弱電流療法)など

マイクロカレント(微弱電流療法)

体に流れている生体電流に似た微弱な電流を流す治療です。非常に弱い電流のため、電気特有のピリピリ感がほとんどなく、電気刺激が苦手な方でも安心して受けられます。損傷した組織の修復を早め、炎症や痛みを抑える効果があり、急性期の肉離れから早期の競技復帰を目指す際に使用します。
当院では機器の貸し出し(有料)も行っています。詳細はスタッフまでお尋ね下さい。

手術療法

完全断裂や剥離骨折を伴う損傷など、保存療法では十分な機能回復が見込めない場合に検討されますが、適応となるケースは限定的です。

当院での対応について

当院では、肉離れの診察・検査・保存療法・リハビリテーションまで一貫して対応可能です。

患者様の症状や生活スタイル、スポーツ活動の有無に応じて、最適な治療プランをご提案いたします。

以下のような方は、ぜひ一度ご相談ください。

  • スポーツ中に急激な痛みが生じ、歩行や動作がつらい方
  • 患部に腫れや青あざが出ており、筋肉に凹み(陥凹)を感じる方
  • 過去に肉離れを繰り返し、根本的な改善やリハビリを希望される方
  • 早期の競技復帰に向けて、マイクロカレントの貸し出しを検討されている方

執筆者:院長、森 隆