ランナーやバスケットなどのジャンプ競技でよくなるアキレス腱の痛みとは?
アキレス腱炎とは
アキレス腱炎(アキレスけんえん)とは、ふくらはぎの筋肉とかかとの骨をつなぐアキレス腱に繰り返しの負担が加わることで炎症や微細損傷が生じ、痛みや腫れを引き起こす疾患です。

ランニングやジャンプ動作の多いスポーツ愛好者に多くみられますが、長時間の立ち仕事や歩行、加齢による腱の柔軟性低下が背景となり、中高年の方にも発症します。初期は「動き始めの痛み」が中心ですが、放置すると慢性化し、アキレス腱断裂のリスクが高まることもあります。
原因
アキレス腱炎は、以下のような要因で起こることがあります。
・ランニングやジャンプ、ダッシュの繰り返しによるオーバーユース
・急な運動量の増加(久しぶりの運動、練習量の急増)
・ふくらはぎ(腓腹筋・ヒラメ筋)の柔軟性低下
・硬い路面での運動やクッション性の低いシューズの使用
・加齢によるアキレス腱の変性(柔軟性低下)
・扁平足やハイアーチなど足部アライメント異常

症状
アキレス腱炎でみられる主な症状は以下の通りです。
・運動開始時や歩き始めにアキレス腱周囲が痛む
・運動後や翌朝に痛みが強くなる
・アキレス腱に沿った圧痛や腫れ、熱感
・腱が厚く硬く触れる
・症状が進行すると、安静時にも痛みが出現することがある
検査・診断
当院では、以下の検査を組み合わせてアキレス腱炎の診断と重症度評価を行います。
・診察:圧痛部位、腫脹、熱感、歩行や動作の確認
・X線検査:石灰沈着や踵骨の形状異常、他疾患の鑑別
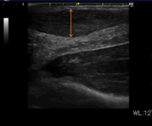
・超音波検査:アキレス腱の肥厚、炎症、微小断裂の有無を評価

※アキレス腱実質部に肥厚と内部高エコーが混在している。
・MRI検査:腱の変性程度や周囲の滑液包炎の有無を確認

※アキレス腱実質に肥厚と交信劫初軒あり。
治療
アキレス腱炎は、多くの場合保存療法により改善が期待できます。症状や生活背景に応じて以下の治療を行います。
保存療法(手術をしない治療)
・安静・負担軽減:運動量の調整、痛みを誘発する動作の制限
・運動療法:
アキレス腱・ふくらはぎのストレッチ

筋力バランスの改善、動作指導

・装具療法:インソールやヒールリフトによる腱負担の軽減
・薬物療法:消炎鎮痛薬、外用薬の使用
・物理療法:超音波治療、体外衝撃波治療など
超音波治療
アキレス腱炎に対して、超音波を患部に照射し、深部組織の血流改善と炎症の軽減を促す治療です。微細な振動による温熱効果・ミクロマッサージ効果により、腱周囲の循環改善や疼痛の緩和が期待されます。

体外衝撃波治療
慢性化したアキレス腱炎に対して、衝撃波を照射することで血流改善と組織修復を促す治療です。繰り返し治療することで慢性的な痛みの軽減が期待できます。

手術療法
保存療法を十分に行っても症状が改善しない場合に検討されます。
変性した腱組織の切除や、腱の緊張を緩和する手術などが行われますが、手術適応は比較的まれです。
当院での対応について
当院では、アキレス腱炎の診察・検査・保存療法・リハビリテーションまで一貫して対応可能です。
患者様の症状や生活スタイル、スポーツ活動の有無に応じて、最適な治療プランをご提案いたします。
以下のような方は、ぜひ一度ご相談ください。
・歩き始めや運動開始時にアキレス腱が痛む方
・運動後にかかと周囲の痛みや腫れが続く方
・ストレッチや休養で改善しない方
・慢性的な痛みで運動や仕事に支障が出ている方
・アキレス腱断裂が心配な方
執筆者:森 隆 ・ 院長

