野球でよくある肘痛は?
野球肘とは
野球肘(やきゅうひじ)とは、投球動作を繰り返すことによって肘に生じる障害の総称です。特に成長期の子どもに多くみられ、肘の内側・外側・後方のいずれにも発症する可能性があります。同じ「野球肘」でも、年齢や部位によって病態が異なります。
原因
野球肘は、以下のような原因で起こることがあります。
・投球数が多すぎる
・投球時、肘にかかる ストレスが強すぎる
・成長期は骨や成長軟骨が損傷しやすい
・投球フォームが悪い
・肩肘、体幹のコンデション不良
症状
野球肘でみられる主な症状は以下の通りです。
・投球時・投球後の肘の痛み
・肘の曲げ伸ばしがしにくい
・投球動作が困難になる
・重症例では「引っかかり」や「ロッキング」が出現
検査・診断
当院では、以下の検査を組み合わせて野球肘の有無や障害の種類・程度を診断します。
・診察:肘の動きや圧痛部位、靱帯の安定性などを検査
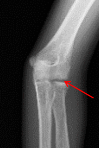
・X線検査:骨、成長軟骨の異常、剥離骨片の有無などを検査

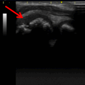
・超音波検査:肘周囲の靱帯、成長軟骨、遊離体の状態を診察室で検査

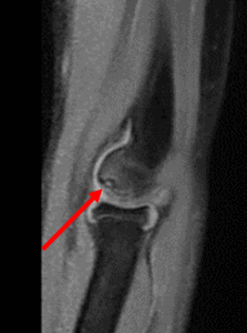
・MRI検査:骨、軟骨損傷や靱帯損傷の有無・範囲などを詳しく検査

・CT検査:分離した骨の状態、遊離体の有無や位置の確認などを

野球肘のタイプ

内側型
・内側上顆骨軟骨障害(リトルリーグ肘) 以下のように呼ばれることもあります。
内側上顆骨端障害
内側上顆下端裂離骨折
・内側上顆骨端線損傷 以下のように呼ばれることもあります。
骨端線閉鎖不全
内側上顆骨端離開
・内側側副靭帯損傷
外側型
・上腕骨小頭離断性骨軟骨炎
・滑膜ヒダ障害
後方型
・後方インピンジメント障害
・尺骨肘頭疲労骨折
・肘頭骨端線損傷
・肘頭骨端線閉鎖不全
治療
野球肘は、症状や重症度に応じて以下の治療を行います。
保存療法(手術をしない治療)
・リハビリテーション
1.痛みのない範囲で肘、肩の関節可動域訓練を行い、筋力訓練、ストレッチ指導を実施します。
2.肘だけでなく、肩甲骨・体幹・下肢の安定性を改善します。
投球時の負担を分散させるため、全身の柔軟性と安定性を高める筋力訓練を実施します。
3.電気刺激療法や超音波療法、体外衝撃波などの物理療法を行い、疼痛改善や修復促進を図ります。
手術療法
保存療法で十分な改善が得られない場合や、骨軟骨の損傷・靱帯損傷が重度な場合には手術を検討します。
・関節鏡視下手術
遊離した骨軟骨片の摘出や損傷部の修復を内視鏡を用いて行います。
術後は安静の後、段階的にリハビリテーションを行い、投球復帰までは数か月を要することがあります。
・骨釘移植術
自家骨を釘のような形に加工して、病変部に打ち込み、分離部の治癒を促します。
・自家骨軟骨柱移植
膝から正常な軟骨と骨を円柱状に採取し、欠損部分に移植して、関節軟骨の再建を図ります。
・靱帯再建術
内側側副靱帯が重度に損傷している場合には、腱を移植して靱帯を再建する手術を行うことがあります。
当院では野球肘の診察、検査、治療がすべて検討可能です。
患者様の症状や競技レベルに応じて、最適な治療内容を提案いたします。以下のような方は、ぜひ一度ご相談ください。
・投球時や投球後に肘の痛みがあり、野球肘が心配な方。
・野球肘と診断され、保存療法で経過観察中だが改善が乏しい方。
・手術を検討している方。
・術後のリハビリを受けられる医療機関を探している方(主治医の紹介状をご用意ください)。
・投球制限やフォームの指導を含めた総合的なリハビリを希望される方。
・肘の痛みや投球でお困りの方は、どうぞお気軽にご相談ください。
執筆者: 院長 森 隆

