足底腱膜炎とは
足底腱膜炎(そくていけんまくえん)とは、
原因
・足底腱膜炎は、以下のような原因で起こることがあります。
・長時間の立ち仕事や歩行、ランニングによる負担
・硬い路面での運動や不適切なシューズの使用
・加齢による足底腱膜の柔軟性低下
・扁平足やハイアーチ(高い土踏まず)などの足の形態異常
・体重増加による足底への過剰な負担

症状
足底腱膜炎でみられる主な症状は以下の通りです。
・朝起きて立ち上がったときのかかとの強い痛み
・歩き始めや長時間歩行後に悪化する痛み
・かかとや土踏まずの押すと強く痛む部位(圧痛)
・慢性化すると、運動や日常生活に支障をきたすこともある
検査・診断
当院では、
・診察:かかとの圧痛部位や歩行の様子を確認
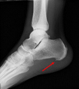
・X線検査:骨棘(かかとの骨の突起)や他の疾患の有無を確認

・超音波検査:足底腱膜の肥厚や炎症の有無を検査
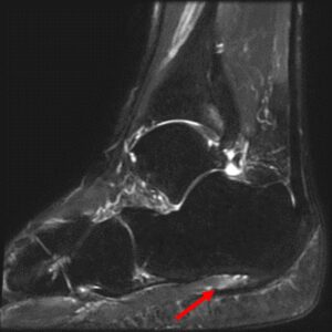
・MRI検査:難治例や他疾患の鑑別が必要な場合に実施

治療
足底腱膜炎は、多くの場合保存療法で改善します。
保存療法(手術をしない治療)
・安静、負担軽減:過度の運動や長時間の立位を控える。
・理学療法:足底腱膜やアキレス腱のストレッチ、


・装具療法:インソール(足底板)やかかと用パッドで衝撃を緩和する。
・薬物療法:消炎鎮痛薬や外用薬を処方する。
・局所注射:足底腱膜付着部や疼痛部位に局所麻酔薬、ステロイド注射を行う。
・物理療法:体外衝撃波治療や超音波治療などを行う。
体外衝撃波治療
衝撃波を足底に照射し、

手術療法
保存療法で長期間改善が得られない場合に検討します。
当院では足底腱膜炎の診察、検査、治療がすべて検討可能です。
患者様の症状や状況に応じて、最適な治療プログラムをご提案いたします。以下のような方は、ぜひ一度ご相談ください。
・朝の一歩目でかかとが強く痛む方
・運動や歩行時のかかとの痛みが続く方
・インソールやストレッチで改善しない方
・長期の痛みで日常生活やスポーツに支障を感じている方
・体外衝撃波治療を試してみたい方

